1-Benign lesions do not obstruct or invade the near structures.
2-Invasion or obstruction means malignancy.
 |
| Diffuse mediastinal lipomatosis could cause narrowing but without obstruction or invasion |
 |
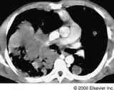
| Central bronchogenic carcinoma causing mediastinal invasion |
No comments:
Post a Comment