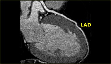
The LAD travels in the anterior interventricular groove and continues up to the apex of the heart.
The LAD supplies the anterior part of the septum with septal branches and the anterior wall of the left ventricle with diagonal branches.
The LAD supplies most of the left ventricle and also the AV-bundle.
The diagonal branches come off the LAD and run laterally to supply the antero-lateral wall of the left ventricle.
The first diagonal branch serves as the boundary between the proximal and mid portion of the LAD (2).
There can be one or more diagonal branches: D1, D2 , etc.


No comments:
Post a Comment